-
2018.08.08
看護師が行うミラドライ
こんにちは
プレシャスクリニック院長の清水です。
最近、ホームページからの問い合わせが多く、その中で多くの方からお問い合わせがあることについてお答えします。
今回は看護師が行うミラドライについて
調べてみると、結構多くのクリニックで看護師がミラドライ治療をしていますね。
看護師が行ってよいとか悪いとかの議論はしたくありません。
でも、医行為ですから医師に治療されるほうが安心ですよね!
治療費が安いところは、看護師が治療しているところが多いです。
ミラドライは皮膚の下の組織(汗の組織、皮下組織、皮膚付属器ともいいます)を熱で焼いて、汗の細胞を死滅させる器械ですが、使い方を間違えると、やけどが生じてしまいます。
プレシャスクリニック自由が丘では、私が直接治療を行っています。
たくさんのミラドライ治療を脇だけではなく、ほかの部位にもおこなっていますが、やけどなどの合併症を生じたことはありません。
皮膚の状態を観察しながら治療を行うのは、医師だからこそできることなので、治療は医師に行われることをお勧めします。
-
2018.06.13
手術後のミラドライ
こんにちは
プレシャスクリニック院長の清水です。
ミラドライ治療について多くのご質問をいただいていることにお答えします。
今回は手術後のミラドライ治療についてです。
ミラドライをお持ちのクリニックのほとんどが、ミラドライで効果がなかったら手術というような方針を持っているようですが、私にはそのような考えはありません。
何度も言っていますが、私の持論は手術よりミラドライ治療です。
プレシャスクリニック自由が丘には、”手術したけど効果がない” ”手術したけど汗(臭い)が気になります” といった患者さんが多くいらしゃっています。
中にはキズだけ残って、効果が全くないなんていう悩みを抱えている患者さんもいます。
先日ミラドライ治療に来られた患者さんです。
これは剪除法という、最も一般的なワキガの手術を受けられた方の術後です。
真ん中のキズ以外にもたくさんキズができています。
周辺には糸固定でできたと思われるキズがたくさんできています。
”ノースリーブの服は着られない。吊革にもつかまれない!”と、計り知れない悩みを抱えています。
しかも、臭いも残っているので、何のために手術を受けたのだかわかりません。
こんなにキズができていても、プレシャスクリニックではミラドライ治療ができます。
キズのところにもミラドライ治療ができます。
この患者さんも術後は大変喜んでくれました。
やっぱり、手術よりもミラドライ治療です。
-
2018.06.01
ウルセラドライって? ペアドライ?
こんにちは
プレシャスクリニック院長の清水です。
ミラドライ治療にまつわるHPの記事から、気になることをピックアップして、私なりの考えを伝えます。
今回は”ウルセラドライ”について。
そもそも、私はこのウルセラドライというものは知らなかったし、わかりません。
今日、相談に来られた患者さんが、”ペアドライ”というのを受けたのに全く効果がなかったということだったので、ペアドライを調べてみました。
すると、ビューホットと”ウルセラドライ”を組み合わせたコンビネーション治療ということまではわかりました。
ビューホットは学会でも報告されていますし、論文も出ているので知っていますが、”ウルセラドライ”というのは学会で聞いたこともないし、論文も見つかりません。
医中誌(医学系論文のデータベース約1,150万件以上のデータを検索できるもので、学会で報告されたものなら見つけることができます。(詳しくはここをクリック)でも検索されませんでした。
しかるに、この治療をしているクリニックのホームページを熟読して勉強してみました。
ウルセラドライというのはウルセラを使って行うワキガ治療でした。
ウルセラとはHIFU(高密度焦点式超音波療法)による顔面のたるみの治療器です。
皮膚のある一定の深さに直径1mmほどの点状のやけどを作り、皮膚を収縮させてたるみを治療するものです。
この深さは、1.5mm、3.0mm、4.5mmの3種類です。
ウルセラのたるみ治療の効果は半年から1年といわれていて、ほとんどが半年ぐらいで効果がなくなってしまう治療です。
それにウルセラは・・・・・・・・という感じで点状に連続して焼けるので、果たしてアポクリン汗腺のような大汗腺が焼けるのでしょうか?
興味のある方はウルセラの大家の石川先生のこの実験映像を見てください。→ここをクリック
ウルセラで焼ける体積よりもアポクリン腺の方が大きいので、うまく的中しても焼けきれないと思います。
ウルセラはたるみ治療で有名な器機で、多くのクリニックに導入されていますが、ワキガ治療を行っているのはこのクリニックだけです。
なぜなのでしょう?
それに、ビューホットに組み合わせて治療する意味も分かりません。
同じように思っているDr.のブログ記事もありました。→ここをクリック
このようにウルセラドライ、強いてはペアドライというのは全く理解できません。
-
2018.05.18
汗とローンが残ったミラドライ
こんにちは
プレシャスクリニック院長の清水です。
ミラドライ治療にまつわるHPの記事から、気になることをピックアップして、私なりの考えを伝えます。
今回は、ちょっと気になるブログ記事を見つけたのでそれについて応えます。
標題の”汗とローンが残ったミラドライ”は、H先生のブログです。
彼は大変まじめで、正義感の強い先生で信頼できる医師です。
この標題名で検索すると出てくると思いますが、このブログ記事の中の
”今年9月に第38回日本美容外科学会が横浜で開催されました。
ミラドライのイブニングセミナーがありました。
座長の先生が、
レーザー脱毛の発明に匹敵する、
画期的な機器と持ち上げていました。”この座長は私です。
興味がある方は、このセミナーを演者の佐々木先生がYouTubeにアップしているのでご覧になってください。→ここをクリック
確かにこのセミナーは質問が多くて、炎上セミナーとよくいわれます。
それほど、会場の先生方の興味を引いたのでしょう。
H先生のいわれることはよくわかります。
私のクリニックにも、ミラドライの治療が効果がなかったといってこられる患者さんがたくさんいます。
それに、クリニックによっては、ホームページで安い価格で表示されていても、実際の治療にはチップが別料金で請求されたり、すそワキガの治療も、部位別に、例えばV,IOで全部施術すると3か所分の料金(3倍です)が請求されたり、無理な勧誘もあるようなことを患者さんから聞きました。
実際の治療にいくらかかるのかをあらかじめチェックしてからカウンセリングに行く方が良いと思います。
ところで、H先生はミラドライを目の敵にしているようですが、手術でも、執刀医によって結果が違うように、治療はすべて施術者によって変わります。
だから、すべてのことをミラドライのせいにしないで欲しいです。
ミラドライという治療器の効果があることは間違いないです。
レーザー脱毛も、世に出る前に私は治験しています。
その時も最初から認められた機器ではありませんでした。
当時は、”そんなので永久脱毛ができるわけがない” などといわれ、”永久脱毛とは”という定義すら話題になったのです。
要は、針脱毛に対抗できる存在であるためには永久脱毛ということが謳えなければならなかったからです。
時は流れ、それから30年たった今ではどうですか?
今の若い人は”針脱毛”という言葉を知りません。
脱毛は”レーザー”です。
H先生のこの記事の最近のコメントをみると、彼の考えも変わってきているようで、ミラドライを認めているように思えます。
それに、ミラドライは近い将来、承認器になります。
厚労省がミラドライをワキガ治療器として認めました。
確かにミラドライは高価な機械です。
でも、キズもできずに、手術、しかも上手な手術と同じ効果を私は出しています。
30年後にはワキガ手術は淘汰され、ワキガ・ワキ汗治療はミラドライになっていると私は思っています。
-
2018.05.17
手術を受けた後でもミラドライは受けられますか?
”手術を受けたのですが満足していなくて・・・・ミラドライは受けられますか?”
という質問をよく受けます。
結論から先に言いますと、全く問題なく受けられます。
多くの、そういう患者さんをミラドライで治療してきましたが、何ら問題なく、治療結果も満足いただけています。
このように、わきが・多汗症ではしばしば手術後の再発が問題となります。
私に相談に来る患者さんの中で、手術を受けたにもかかわらず臭いが残っているという悩みを抱えている方が少なからずいます。
これはどうしてでしょう?信頼のおける専門医によって確実な手術を受けたにもかかわらず、まだ臭いが気になる・・・
たしかに臭いに対して過剰に神経質になってしまい、手術が成功しても、なくなっているはずの臭いをまだ気にしてしまう人もいます。でも本当の理由はそうではなくて、臭いが残っているのは、やはり医師による手術の不十分さ、未熟さにあるのです。
たとえば吸引法、超音波法などでは、時間が早く、傷が小さいので目立たない、などが利点だと言われています。
ただ、学会発表や医学論文などでは浅いところに存在しているアポクリン汗腺、エクリン汗腺はほとんど取れず、再発率が高いことが指摘されています。
特に真皮内に存在している汗の細胞を除去するのは難しいとされています。これは剪除法などの手術でも同様です。

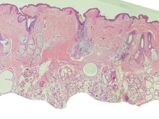
これは、ワキの皮膚の組織で,赤い線で囲まれた部分が汗の細胞です。この赤い線で囲まれた部分に大小とりどりのわっか 〇 があるのがわかりますか?
手術では皮膚の裏側(下側)から汗の細胞を削りとってきます。皮膚がだんだん薄くなってくるので、技術がなかったり、組織を見る目がないと、皮膚の浅い層にある汗の細胞が取り残されてしまいます。

例えばこんな風に残ってしまうのですが、術後は、まだ、皮膚への神経が再生されていなかったり、組織が傷ついているので、汗をかく能力がなくて臭いがしません。
2~3か月すると、いろんな細胞が再生されて治ってくるので、汗をかくようになり、臭いがしてくることになります。
では、この状態でミラドライをするとどうなるのでしょう?

ミラドライは皮膚の上側からマイクロ波が照射されるので、全く問題なく治療されます。
下側の、皮膚の深いところがどうなっていても、その状態に影響されません。
わかっていただけましたか?
手術後の患者さんでも、ミラドライの治療は問題ないですが、手術後の状態がどうであって、汗の機能がどうなっているのかを客観的に調べてから治療することをお勧めしています。
ご心配の方は、カウンセリングを受けに来てください。
きっと、悩みを解消できる方法が見つけられます。
-
2018.05.16
ミラドライは本当に効果があるの?(その2)
こんにちは
プレシャスクリニック院長の清水です。
ミラドライ治療にまつわるHPの記事から、気になることをピックアップして、私なりの考えを伝えよます。
ミラドライの効果について、私が再三再四、”手術同様の。しかも完璧な手術と同等な効果が認められています”と熱く語っているにもかかわらず、いまだに、”本当に効くのですか”と聞かれることがあります。
これは私の実体験から証明していますし、臭うとか、臭わないとか主観的な事柄でなく、”病理所見”という、これ以上ない、客観的データから証明しているのです。
形成外科学会で、そして美容外科学会でも、私が報告してきて、この病理結果をもとに治療結果について報告すると、今まで、ミラドライの治療について否定的だったDr.も、否定するわけにはいかず、ミラドライの治療を理解してくれるようになりました。
そればかりか、今まで、ミラドライ治療を否定してきたDr.も、”ミラドライ買ったよ” ”ミラドライ、本当にいいね”などと言ってくれるようになり、本当にうれしい限りです。
しかも、ミラドライは、厚労省が認める”承認器”になりました。
原発性腋窩多汗症治療で、唯一、国内医療承認を取得したのです。(2018年8月現在)
すなわち、ミラドライの治療効果を国が認めたということです。
やっと、私が提言してきたことが認められたということです。
もはや、手術の必要はありません。
手術を否定しているわけではありません。
手術は効果的だということは、たくさんワキガ手術を行ってきた外科医である私はよく知っています。
でも、手術には合併症という、手術手技のせいではない、いわゆる不可抗力の合併症が生じる可能性があり、手術を受けるには覚悟が必要です。
キズができるとか、できないとかいうレベルの問題ではなく、一生引きずってしまうかもしれない、醜い跡が残ってしまったり、肩関節が上げにくくなったり、神経障害が残ったりすることがあるのです。
正直、合併症がない治療はあり得ません。
ミラドライでも合併症が起こりえます。
でも、重篤な合併症の報告はありませんし、私が行ったミラドライ治療では合併症は生じていません。
わきが、ワキ汗治療は手術よりミラドライをお勧めします。
-
2018.05.12
ミラドライは痛くない!
こんにちは
プレシャスクリニック院長の清水です。
ミラドライ治療にまつわるHPの記事から、気になることをピックアップして、私なりの考えを伝えます!
ミラドライの治療が痛いとご心配の方々がたくさんいますので、再度、この話題についてお話しします。
麻酔の注射の痛みは、最初に”チクッ!”とするだけです。
予防接種より痛くない”チクッ!”という感覚です。
この”チクッ!”すら感じないこともよくあります。
手術も、注射も、人間がすることはすべてテクニックによります。
採血検査を受けるときも、痛いときと、痛くないときがあるのは、どなたもご経験されていると思います。
これもテクニックだと思いませんか?
私は長年、局所麻酔の手術をしてきているので、そのテクニックは自然と磨かれています。
特に形成外科では、子供を相手にすることも多いので、痛くなく施術するということはとても重要なことなのです。
先日も小学生に手術しましたところ、最初はびくびくで手術台に寝たのですが、全く痛くなかったので、安心して手術中は寝ていました。
それほど、麻酔注射には自信があります。
それに、麻酔の注射は、痛みをなくす注射なので、ゆっくり注射すると麻酔が効いていくので痛くないのです。
ですから、当院では他のクリニックより麻酔の時間が長くなりますが、それはデメリットではないと思います。
麻酔が効いてしまえば、治療中は全く痛くありません。
施術後もずっと冷却すれば、ほとんど痛くならないので、ご心配することなく治療に来てください。
-
2018.04.14
ミラドライは痛い!
こんにちは
プレシャスクリニック院長の清水です。
ミラドライ治療にまつわるHPの記事から、気になることをピックアップして、私なりの考えを伝えます!
今回はミラドライの治療の痛さについて。
ネットを見ていると、”ミラドライの治療はものすごく痛かった”という記事をよく見かけます。
だから、”ミラドライの治療は痛くないです”ということを売りにしているクリニックがたくさんあります(ちなみにプレシャスクリニックもそうですが)。
でも、そういう痛かったという記事があれば、それは昔の記事だと思います。

これは何だと思いますか?
これはテンプレートといって、ミラドライのハンドピースをどこにあてるかを印したものです。
患者さんに合わせてサイズを選んで、これを転写して治療するワキにしるしを付けます。

そうすると、こんな感じにしるしが付きます。
この、しるしの中で長方形のしるし
は、ミラドライのハンドピースを合わせるしるしです。この長方形のしるしに合わせてミラドライのハンドピースをあてて照射していきます。
このテンプレートに全部で37個のしるし
がついているのが確認できると思います。ということで、37回ミラドライを照射することになります。
そして丸い印 ● がついているのもわかると思います。
ここは、局所麻酔を刺すポイントです。
このしるしごとに局所麻酔の注射を刺して行います。
そして、”各ポイントごとに0.4ccずつ局所麻酔の注射液を注入する。”という細かな指示のもと治療が行われていました。
この麻酔方法が効くわけありません。
この麻酔方法で、全部の範囲に麻酔が効くわけがありません。
だから、”治療はとっても痛い!!” という記事につながるのです。
今でも、この麻酔方法で行っているところはないと思いますが。
この麻酔方法でなくてもミラドライの治療効果が出ることがわかっています。
いえ、むしろ、私が行っている麻酔方法の方が、ミラドライの治療効果が出ることが実験で明らかになっています。
どちらかといえば、私の注射する量は多いです。
でも、それが、治療の効果と安全度を高める方法なのです。
治療中は全く痛くありません。
ところで、麻酔の注射が痛いと、ご心配されている方もたくさんいらっしゃいます。
注射も技術です。
採血の時に、うまい人にされると痛くないのと一緒です。
私の技術を信用してきてください。
極細の針を使って、なおかつ、麻酔の注射液も痛くない配合にしています。
当院では麻酔、注射が苦手な方もたくさんいらっしゃってますが、皆様、”このくらいだったらまったく問題ありません” ”えっ!刺さってるんですか?”などと仰ってくれて、当院での麻酔を絶賛してくれています。
ミラドライの治療は痛くありません。
-
2018.04.05
ミラドライは本当に効果があるの?
こんにちは
プレシャスクリニック院長の清水です。
ミラドライ治療にまつわるHPの記事から、気になることをピックアップして、私なりの考えを伝えよます。
ネット上でさまざまな体験談をみかけますが、最近は全く効果がないという記事は見かけなくなったように思います。
それより金額の話題の方が多いように思います。
金額についてもおいおい話題にしようと思っています。
ミラドライの効果は絶対あります。
治療レベルが低いと再発などということもあると思いますが。
ところで、当院(プレシャスクリニック自由が丘)でミラドライ治療を受けた方から、ある写真が送られてきました。


携帯でうまく顔を隠して写真を撮っていたので、”なんで顔が写ってない写真を送ってきたんだろう?”
と、とても不思議に思ったのですが。
”ミラドライのおかげでこんなに快適に過ごせるようになりました” という手紙がついていたので、”こんなに背中やおなかはびっしょり汗をかいているのに、わきの下は汗をかかなくなった”という写真を送ってきてくれたことに気付きました。
本当に喜んでくれる方がいて、医者冥利に尽きるというものです。
自分の治療経験もしかり、私の経験から、”ミラドライの治療は本当に効果があります”と自信をもって患者さんに説明しています。
-
2018.04.03
ミラドライ 再発? 失敗? 術後臭
こんにちは
プレシャスクリニック院長の清水です。
ミラドライ治療にまつわるHPの記事から、気になることをピックアップして、私なりの考えを伝えます。
今回は術後臭について
ミラドライ治療したのに術後臭が!再発するの?
これは以前のブログ(ここをクリック)でも書きましたが、治療が不十分であったときには再発してしまいます。
これ以外にも次のようなことが考えられます。
私はミラドライの治療に絶対的な自信を持っているので、当院(プレシャスクリニック自由が丘)で治療を受けた患者さんは絶対満足いただけていると思っていたのですが、中には”先生まだ臭うから再治療してください”と言ってこられるケースがあります。
そういった方々には、発汗テストをしてもらって、客観的に、どういう状態なのかを調べてから治療を行います。

これはヨードデンプン反応といって汗(水)と反応して青くなります。
青い線で囲っているところが汗をかいている場所になります。
全体的に汗をかいているわけではないことがお分かりになるとおもいます。
治療前だと
こんな風に全体が青く染まります。
ということで、ミラドライの治療が確実に行われていない部位が部分的にできたしまったことがお分かりになると思います。
ミラドライはハンドピースをテンプレート通りの部位ごとにあてて、治療を行っていくのですが、その治療のすき間ができてしまうのではないかと考えています。
未治療の部位ができてしまうので、このように汗をかく部位がところどころにできてしまうのです。
上の写真のケースで、おおむね80%の部位は完全に汗が出なくなっていると思いますが、残りの20%で臭いを感じてしまうのです。
元の臭いの強さによるのだと思いますが、臭いの感じ方は人それぞれなので、同じ状態でも臭う人、臭わない人がいると思います。
この状態で臭うということは、残念ながら、術後臭、失敗ということになるのでしょう。
当院では、このようなケースの再治療は、 汗をかいているところだけミラドライを照射 します。
テンプレート通りの再照射では、また、同じことになりかねません。
さすがに、この後、再治療を希望されて来院されたケースはありません。
そして、最初から、このすきまをなくす方法がミラドライ既存のテンプレートにとらわれない、独自の照射方法による、プレシャスクリニックのプレミアムミラドライです。
もう手術は必要ありません。
院長ブログ
TAGタグ
RECENT POSTS最近の投稿
ARCHIVE月別アーカイブ
-
2021年 (4)
-
2020年 (4)
-
2018年 (18)
-
2017年 (12)




