-
2018.03.31
ミラドライの再発 再発について考えてみる
こんにちは
プレシャスクリニック院長の清水です。
ミラドライ治療にまつわるHPの記事から、気になることをピックアップして、私なりの考えを伝えよう!第5弾
今回は再発についての考察です。
今日治療に来られた方が、ネットで再発した人の記事が載っていますがどうしてでしょう?
と言ってらっしゃったので、ミラドライの再発ということが一番気になっているのだと思います。
ブログ記事でも書いたのですが(ここをクリック) 私はミラドライの治療効果について、照射された場所の皮膚が100%治療されていることを証明しています。
ですから再発などはないと思っているのですが、ネットで、”ミラドライの術後臭がした”などの記事があります。
これはどういうことなのか考えてみました。

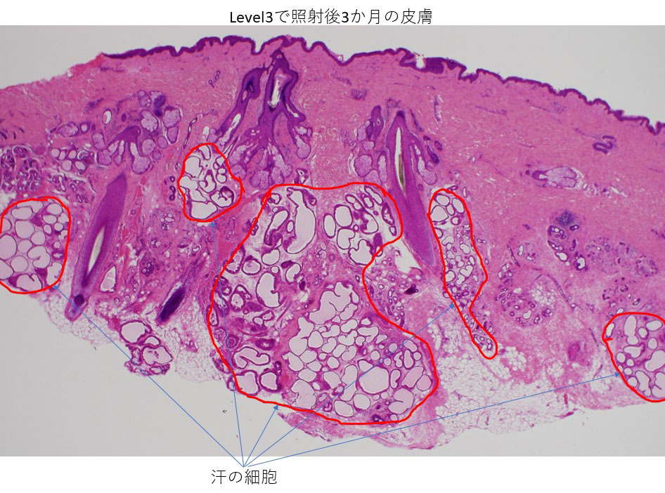
これは、レベル3で治療されたワキの3か月後の皮膚です。
ミラドライは照射レベルが1~5の5段階で設定されていて、中間の出力で治療された状態です。
施術後3か月で汗の細胞が再生されてきたのでしょう!
汗の細胞が多く認められます。
このように不完全な治療後だと、”また匂うようになった” と感じるでしょうね!
ですから、治療が不完全ということが考えられます。
これを、 ”失敗” という人もいると思います。
治療は不完全ですが、汗の細胞の数は手術前と比べて減ってるので、無効ではないです。
治療を評価するなら ”有効” です。
多分汗の量も減っていると思います。
でも、においを気にする人にとっては失敗なのでしょう!!
-
2018.03.29
ミラドライのワキ毛について
こんにちは
プレシャスクリニック院長の清水です。
ミラドライ治療にまつわるHPの記事から、気になることをピックアップして、私なりの考えを伝えよう!第4弾
今回はミラドライ施術後のワキ毛の状態について
ミラドライはFDA(アメリカの厚生省にあたり、医療機器などの認可を行っているところ)で多汗症治療の治療器として認可が下りましたが、その後、治療後の顕著な減毛効果が認めれらることによって、脱毛治療(減毛治療)も認可が下りました。
要は国がミラドライの脱毛効果を認めたということです。
毛根と汗の細胞が非常に密接して存在していること、特にアポクリン腺は毛穴から汗が排泄することなどからも、ミラドライの治療で毛根が同時に破壊され、脱毛効果があることは考えられますが、それが公式に認められたことになります。
ではどのくらいの減毛効果があるのでしょうか?
これは私の実体験から見てください。
ワキの写真です(汚くてごめんなさい)。

どちらも、全く手入れをしていない、いわゆる無処置の状態です。
右はミラドライで治療を受けた3年後の状態です。
脱毛効果があるといっても、つるつるの状態ではありません。
でも、ここまで脱毛効果があるのはすごいことなんです。
その昔、稲葉先生が言っていたことなのですが
(稲葉先生はもうお亡くなりになっていますが、ワキガの大御所の先生で、独自の削除器(今でいうローラークランプ法に似た方法だと思います。)を開発して、皮膚を極限まで薄く削り取る術式を編み出しました。それは匠の技で、稲葉先生は1mmの薄さまで皮膚を削っていたそうです。)
”不思議だなぁ、毛根を全部取っても毛が生えてくるんだよ”
当時は再生のメカニズムなんてわかっていなかったし、毛根がなくなれば毛が生えなくなると信じられていたからです。
それほど永久脱毛って難しいのです。
いまでは、毛の再生する幹細胞が毛穴の浅めのところ(具体的には立毛筋付着部です)に存在していることがわかり、毛周期という存在もあり、毛根の深さは一定していないことがわかっているので、科学的に解明されていますが。
そういうことで、レーザー脱毛でも1回の治療でこれほどまでの脱毛効果は得られません。
男子で、治療後の毛の状態を気にしている方もいられますが、この程度なので、気にされなくてもよいかと思います。
-
2018.03.26
ミラドライの再発
こんにちは
プレシャスクリニック院長の清水です。
ミラドライの再発について良く聞かれるので、それについて私の経験を踏まえて解説します。
端的に言って再発はありません。
それは私の体で実証しています。
ミラドライ体験記 (アメブロの記事です。興味がある方はご覧になってください → ここをクリック)にも書きましたが、私はミラドライの治療を受けています。
その治療を受ける前の私のわきの下の皮膚です。

このように、汗の細胞(汗腺)がたくさんありました。
そして、レベル5で治療後の皮膚が下の写真です。

汗の細胞が見つけられないほど汗腺は消滅していました。
これが手術した後の状態だとしたら、完璧に手術された状態といえます。
このように汗の細胞がない状態から、汗の細胞が再生されてくるとは考えられません。
ミラドライを受けて3年たった今でも、私のわきの下の状態は同じ状態です。
私の経験から再発はありません。
再発ということがあるとしたら不十分な治療の結果によるものだと思います。
これは手術でも同じです。
やっぱり手術よりミラドライなのです。
-
2018.03.24
ミラドライの効果 デメリット
こんにちは
プレシャスクリニック院長の清水です。
ミラドライ治療にまつわるHPの記事から、気になることをピックアップして、私なりの考えを伝えよう!第2弾
ミラドライの効果について
正直、ミラドライってこんなに効果があるものだと思っていませんでした。
ミラドライを扱うまで、機械でここまで効果が出るなんて信じられないですから、致し方なかったことだと思っています。
今からさかのぼること2014年、当時昭和大学にいましたので、ある治療後の状態を調べてほしいと依頼がありました。
その治療がミラドライだったのです。
そして、ワキの皮膚をとって見たところ、驚愕しました。

表の皮膚は何ともなくて、きれいなのに、皮膚の中は、焼けただれた後のように変化しています。

これは正常なワキの皮膚です。
黄色いのが皮下脂肪で、黒く見えるのが毛根です。
この違いは誰でもわかると思います。
”こんなに効果があるんだぁ”
っていうのが正直な感想です。
こんなに効果があるのならば自分でも受ないといけないと思い、実際に治療を受けてみました。
このミラドライ治療体験に興味のある方はこのブログ記事”ミラドライ体験記”を見てください。(ここをクリック)
治療結果はすごくて、私の皮膚からは汗の細胞が見つけられない程に効果がありました。
ミラドライのデメリットって思い浮かびません。
キズもできないし、強いて挙げるならば毛が薄くなることですか?
でも、これは手術しても同じように毛が減るし、毛が減らない施術は効果が出ていないと思います。
手術後は確かに腫れますが、治る腫れなので気にしないことです。
手術はもっと大変です。
手術と同等な結果が得られているのだから、少しぐらいの腫れは致し方のないことです。
ワキガ、多汗症治療はミラドライがファーストチョイスです。。
-
2018.03.23
ミラドライの失敗
こんにちは
プレシャスクリニック院長の清水です。
ミラドライ治療にまつわるHPの記事から、気になることをピックアップして、私なりの考えを伝えようと思います。
ホームページの検索でミラドライと入力すると次に失敗という文字が一番最初に出てきます。
ミラドライを調べている方が一番失敗ということを気にされているからでしょうか?
私の治療経験、治療を受けた経験からいえるのは、失敗ということはあり得ないです。
まったく効果が出ないということはあり得ません。
ただしその効果については個人差が出ることはあり得ます。
においという感覚はとても難しいので、その評価も千差万別だと思います。
私のクリニックでは再治療を希望されている方々を発汗テストで検証してみるのですが、80%以上の治療効果が認められています。
合併症も後に残るようなものは経験ありませんし、理論的にも重大な合併症は生じないと思います。
それに比べると手術では合併症が多くみられます。
手術では汗の細胞を裏側から削り取ってくるのですが、汗の細胞を取ろうと頑張れば頑張るほど皮膚は薄くなります。
手術した後、血もたまりやすいですし、皮膚が薄くなっている分、動きにも弱いです。
ですから手術では、手術した後に、固定したり、運動制限がついたりします。
手術して、血がたまったりすると、傷が治るのに時間がかかるばかりか、醜いキズができてしまいます。
患者さんが失敗と表現する状態です。
ですから手術は大変です。
私の研究結果から、ミラドライは手術と同等な治療効果が出ています。
”ミラドライでダメなら手術”という考えを私は持っていません。
ミラドライで絶対治療できます。
その昔、針脱毛がレーザー脱毛に取って代わったように、今後は手術はなくなってミラドライ治療に取って代わると信じています。
院長ブログ
TAGタグ
RECENT POSTS最近の投稿
ARCHIVE月別アーカイブ
-
2021年 (4)
-
2020年 (4)
-
2018年 (18)
-
2017年 (12)




